El bruxismo —apretar o rechinar los dientes— es uno de los motivos de consulta más habituales en clínica dental. Muchos pacientes llegan preguntando directamente por una férula de descarga para el bruxismo férulas de descarga, ya que consideran que es la solución más efectiva. Sin embargo, es crucial entender que el bruxismo puede tener múltiples causas y no siempre requiere el mismo enfoque. Por lo tanto, aunque la férula de descarga puede ser útil, no necesariamente es la única o la mejor solución para este problema.
😬 ¿Qué es el bruxismo y por qué aparece?
El bruxismo no es solo un problema dental. Es un trastorno que puede afectar a la salud general de una persona. Las causas del bruxismo son diversas e incluyen:
- Estrés y sistema nervioso: El estrés emocional y la ansiedad son factores que pueden provocar un aumento en la tensión en los músculos de la mandíbula, lo que lleva al bruxismo.
- Alteraciones del sueño: Las personas que sufren de trastornos del sueño, como el insomnio o la apnea del sueño, pueden experimentar un mayor riesgo de bruxismo.
- Factores oclusales: Una mala alineación de los dientes o problemas en la mordida también son causas comunes del bruxismo.
👉 Por eso, no siempre se soluciona con un dispositivo en la boca, ya que abordar la causa raíz es fundamental para un tratamiento efectivo.

El bruxismo no es solo un problema dental. Está influido por:
- Estrés y sistema nervioso
- Alteraciones del sueño
- Factores oclusales
👉 Por eso, no siempre se soluciona con un dispositivo en la boca
⚠️ ¿Para qué sirve una férula de descarga?
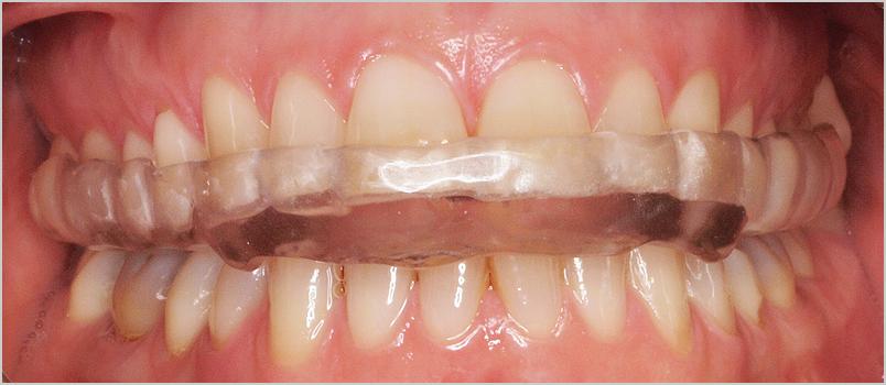
La férula de descarga es un dispositivo diseñado para ser utilizado por la noche y tiene varios propósitos importantes:
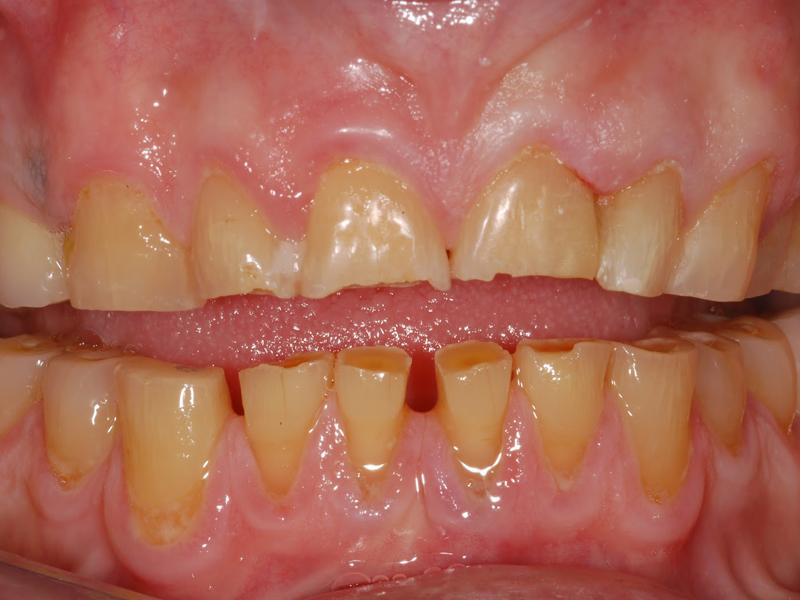
- Protege los dientes del desgaste: Al actuar como un amortiguador entre los dientes superiores e inferiores, previene el desgaste excesivo de las superficies dentales.
- Reduce el impacto de la sobrecarga: Disminuye la presión que se ejerce sobre los dientes y las estructuras de soporte, lo que puede ayudar a prevenir el dolor y la incomodidad.
- Puede aliviar síntomas: Muchos pacientes reportan una disminución del dolor en la mandíbula y de los dolores de cabeza relacionados con el bruxismo al usar la férula.
👉 Sin embargo, es importante entenderlo: no elimina el bruxismo. Para una solución completa, es necesario un enfoque integral que considere la causa del problema y no solo sus síntomas.
La férula:
- Protege los dientes del desgaste
- Reduce el impacto de la sobrecarga
- Puede aliviar síntomas
👉 Pero es importante entenderlo: no elimina el bruxismo
🚫 El enfoque tradicional: férula para todos
Durante años, la respuesta más habitual ha sido indicar férulas de forma sistemática a todos los pacientes que presentan bruxismo. Este enfoque se basa en la idea de que todas las personas pueden beneficiarse de este dispositivo, lo cual no es necesariamente cierto.
El problema es que:
- Es un tratamiento pasivo: Las férulas no abordan la raíz del problema, simplemente actúan como un parche temporal.
- No corrige el origen del problema: Si la causa subyacente del bruxismo no se identifica y se trata, el uso de una férula puede ser infructuoso.
- En algunos casos, el paciente sigue apretando igual, lo que puede llevar a un daño dental adicional y a una mayor frustración.
Es vital que los pacientes comprendan que la férula no es la única opción y que la atención dental debe ser personalizada.

Durante años, la respuesta más habitual ha sido indicar férulas de forma sistemática.
El problema es que:
- Es un tratamiento pasivo
- No corrige el origen del problema
- En algunos casos, el paciente sigue apretando igual
💡 Nuestro enfoque: más allá de la férula
En la clínica Instituto Dental Lucrecia Botella trabajamos el bruxismo desde una visión más actual. Nuestro objetivo es proporcionar tratamientos que no solo alivien los síntomas, sino que también se dirijan a las causas subyacentes del bruxismo.
Aquí es donde introducís vuestro diferencial:
🔹 Sistema ALPH
El sistema ALPH es un enfoque innovador que busca:
Mejorar la posición y función oral: A través de ejercicios y tratamientos personalizados, se busca crear un equilibrio en la función de la mandíbula. Favorecer un equilibrio neuromuscular: El tratamiento incluye técnicas que ayudan a relajar los músculos tensionados y a mejorar la coordinación muscular en la boca. Actuar sobre el origen del problema, no solo sobre sus consecuencias: Esto implica un diagnóstico integral y un seguimiento continuo para asegurar una mejoría sostenida.👉 A diferencia de la férula, no se limita a proteger los dientes, sino que busca una mejora funcional global, proporcionando una solución más eficaz y duradera para el bruxismo.
En la clínica Instituto Dental Lucrecia Botella trabajamos el bruxismo desde una visión más actual.
🧠 ¿Significa esto que nunca usamos férulas?
La respuesta es no. En situaciones específicas y bajo ciertas condiciones, las férulas pueden ser necesarias. Para mantener rigor y confianza, utilizamos férulas en:
- En casos de desgaste severo: Cuando el daño dental es significativo, es fundamental proteger los dientes mientras se busca una solución a largo plazo.
- Riesgo de fractura dental: Si un paciente está en riesgo de fractura dental debido a la intensidad del bruxismo, el uso de una férula puede prevenir daños adicionales.
- Situaciones concretas: Cada paciente es diferente, y en algunos casos, la férula es una herramienta útil dentro de un plan de tratamiento más amplio.
👉 La férula sigue siendo una herramienta útil, pero no siempre es la primera opción. Nuestro enfoque prioriza el tratamiento individualizado y la atención a las causas del bruxismo.
No.
Para mantener rigor y confianza:
- En casos de desgaste severo
- Riesgo de fractura dental
- Situaciones concretas
Tu dentista en Torrevieja para una sonrisa saludable
Realizar una limpieza dental profesional al menos una o dos veces al año es fundamental para mantener la salud bucodental. Además, es importante realizar chequeos regulares para poder detectar problemas a tiempo y prevenir condiciones más graves. En nuestra clínica, nos aseguramos de proporcionar un ambiente acogedor y un servicio de calidad.
Nos encontrarás en C/ María Parodi, 15-17 de Torrevieja. Nuestro equipo está listo para ayudarte con todos tus problemas de salud dental y a mantener tu sonrisa en óptimas condiciones.
Por último, es imprescindible que tomes en cuenta que el bruxismo férulas de descarga no es la única alternativa, y que un tratamiento integral y personalizado es la clave para resolver esta afectación de manera efectiva y duradera.
Preocúpate solo de sonreír y deja el resto en manos de profesionales cualificados. Recuerda que tu salud bucodental es una inversión en tu bienestar general.
👉 La férula sigue siendo una herramienta útil, pero no siempre es la primera opción
🦷 Conclusión
El bruxismo no tiene una solución única. Cada paciente presenta un cuadro clínico diferente que requiere un diagnóstico personalizado. La férula puede ayudar, pero no siempre es suficiente ni la mejor opción para todos los pacientes. Un enfoque integral que considere la totalidad del problema es esencial para un tratamiento efectivo.
👉 Si tienes bruxismo y vives en Torrevieja, lo importante es un diagnóstico individualizado y un enfoque que vaya más allá de “poner una férula”. La atención dental debería adaptarse a tus necesidades específicas para garantizar la mejor salud bucodental posible.
El bruxismo no tiene una solución única.
La férula puede ayudar, pero no siempre es suficiente ni la mejor opción para todos los pacientes.
👉 Si tienes bruxismo y vives en Torrevieja, lo importante es un diagnóstico individualizado y un enfoque que vaya más allá de “poner una férula”.
Tu dentista en Torrevieja para una sonrisa saludable
Realizar una limpieza dental profesional al menos una o dos veces al año es fundamental para mantener la salud bucodental.
Nos encontrarás en C/ María Parodi, 15-17 de Torrevieja.
Preocúpate solo de sonreir.


